2011年,四川孕妇生下中国第一例“双头女婴”,最后怎样了?
talk历史 2022.03.18 1254 23
“这意思是不是说娃儿没事?”
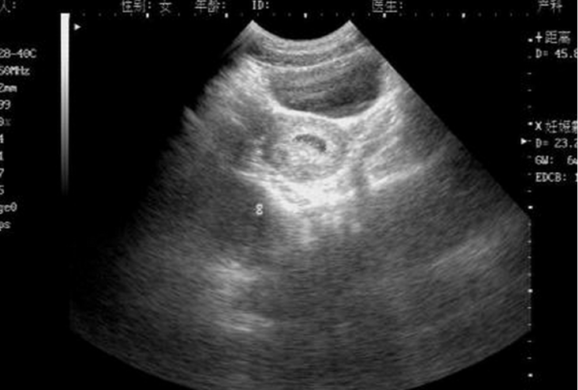
2011年2月21日,在遂宁市第三人民医院里,廖国军正指着妻子B超报告上“宫内单活胎”的字样不停询问着医生。
“对对,很正常,回去养着吧。”
医生似乎已经被问得有些不耐烦了,但廖国军还是又追问了几遍,这才放心地走了出来,并赶紧将这个好消息告诉了妻子。
就在当天早上,已有6个月身孕的妻子包桥英肚子突发不适,廖国军急忙陪她来医院做检查。虽然说火急火燎了一早上,但好在一切都正常。
此后的日子里,廖国军对包桥英的饮食起居更是照顾有加,他们一起翘首盼着孩子的降临,希望孩子的到来能为这个家庭增添更多的欢乐。
可让他们没想到的是,就是因为这张报告单,让他们美好的期待直接烟消云散。
变故
2011年5月3日,因为肚子再次出现明显的疼痛,包桥英急忙将外出买菜的廖国军叫了回来。两人一同到遂宁市妇幼保健院做了B超,可这次的检查结果却显示他们的孩子是连体双胎,这与两个多月前遂宁市第三人民医院给出的结果大相径庭。
“两个头?上次医生说我娃很正常,怎么到你这就变成两个头了。”
面对遂宁市妇幼保健院检查的结果,廖国军不敢相信,也不愿意去相信自己未出生的孩子会长着两个头,所以气愤不已的他隔天一大早就带着妻子来到华西第二医院做检查。
等报告的时间不是很长,但对于坐立不安的廖国军来说却度日如年。他心里害怕昨天的结果变成事实,只能发自内心地祈求这是一次误诊。
检查报告一出来,廖国军急忙上前,可机器不会说谎,冷冰冰的检查报告上面依然是“连体双胎”的字样,并且下面还附有一行字:已错过产前诊断检查最佳时期。
廖国军瘫坐在椅子上。从医生那里他了解到,自己的两个孩子虽是连体婴儿,但并不是没有存活下来的可能。只要条件足够,还是可以通过手术分开的,并且不会影响以后的生活。
廖国军还有些懵,突然想起报告上这个“已错过产前诊断检查最佳时期”是什么意思。医生解释道,这是指胎儿在18周以后就能检查出是否存在畸形,他们错过了这个时间。可廖国军心里清楚,上一次去遂宁市第三人民医院检查时都已经6个月了,可为什么没有检查出来呢?
廖国军夫妻俩坐上了回遂宁市的大巴车。一路上,妻子隐隐啜泣,廖国军想着医生的话,连连叹息。
廖国军是一名厨师,工作不是很稳定,早年一直四处打拼,无奈之下,他将妻子包桥英留在了家乡,让她在纺织厂里做着纺衣织布的活。虽然家乡工资低,但在两人没有孩子的情况下,这些钱养活包桥英自己已经足够了。
几年后,廖国军在广东的工作终于稳定了下来,他立刻把包桥英接了过来。不过,为了更好地生活,包桥英又进了广东的大工厂,夫妻俩只能在短暂的相聚后再次分开。好在这一次,两人从一年见几面变成了一个月见一面。
到了2010年8月初,包桥英怀孕了。廖国军惊喜不已,立刻带着包桥英去医院检查身体,在确定包桥英身体非常健康之后,两人一同回了四川老家,准备安心养胎。
廖国军是厨师,所以妻子怀孕期间的饮食他全都一手包办了。听说孕妇情绪经常不稳定,廖国军还每天变着花样给包桥英做好吃的,逗她开心,就怕哪天包桥英吃烦了闹脾气,影响到胎儿的健康。
在廖国军细致地照顾之下,包桥英的身体越来越好,每天出去散步时,村里人都说她气色好,一定能生下个大胖小子。
除了在家里养胎,廖国军还时常陪妻子到县城里,给肚子里未出生的孩子买些奶粉、奶嘴之类的婴儿用品,可爱的小衣服也买了很多件。廖国军夫妇想着,即便自己家里不算富裕,但再苦也不能苦孩子,趁现在手头还宽裕一点,提前买着,省得到时候着急犯难。
时间一天天过去,孩子出生的日子也在一天天接近,可就在廖国军夫妻俩满心欢喜地等待孩子的降临时,他们怎么也没想到,生活会跟自己开这么大的玩笑。
虽然医生说孩子有存活的可能,但廖国军心里清楚,这种双头儿的存活几率很小,而且还有可能会带有各种先天疾病。他查过资料,很多类似的孩子都是刚一到人世就夭折了,根本活不了多久。所以在跟妻子经过一番商量后,他们决定将这个孩子打掉。
5月4日,刚回到遂宁市的廖国军夫妇马上来到市中医医院准备堕胎。可孩子已经接近9个月大,如果强行打掉的话就连包桥英自己也会有生命危险。在医生的劝诫下,廖国军夫妇只能无可奈何地将孩子生下来。
双头女婴
由于情绪的波动和四处奔波的劳累,包桥英觉得身体非常不适,于是便在预产期前一个星期住进了医院。5月5日早上,看着妻子还在病床上睡着,廖国军紧绷的弦稍稍松了些,他决定去遂宁市第三人民医院问个清楚。
然而因为轮休的缘故,当时给他们做B超的医生并不在医院,而且负责人也找不到,就连电话都打不通。廖国军一直等到中午见没有一个能管事的过来,只能先打道回府,在医院陪着妻子。
到了晚上8点,包桥英突然早产。在一切准备做好之后,包桥英在廖国军的陪伴下被推进了手术室。因为同体双胎的危险性很大,所以即使包桥英身体很好,但为了避免意外的发生,医院还是决定采取剖腹产。
时间一分一秒地过去,手术期间每出一点小状况都让廖国军无比紧张。好在主治大夫经验丰富,一个小时之后,包桥英被安全推了出来。看到妻子憔悴地躺在病床上,廖国军心疼不已,又听到医生说两个孩子因为共用一个心肺系统而必须要送到监护室里观察时,廖国军刚放下来的心又高高悬了起来。
包桥英躺在床上,嘴里一直念叨着想看一下孩子,可对于普通父母来说无比简单的事情,对他们来说却变得极其困难。
两个孩子是连体婴儿,又加上早产,导致各种先天性、继发性病症在她们出生后便一一显现出来,情况非常不乐观。廖国军自己都无法去看望孩子,但他嘴上还是答应了包桥英,安慰妻子说等她稍微好点就带她去看女儿。
廖国军夫妇的女儿
廖国军夫妇生了个“双头女婴”的事情便很快地传遍了整个医院,以至于没过多久,整个社会都开始慢慢关注着这两个女婴的状况。毕竟,这是我国第一例“连体双胞”婴儿。
女儿的轰动为廖国军一家带来了好运,位于重庆的新桥医院在得知他们的情况后,决定免费救治廖国军的两个女儿。廖国军欣喜若狂,连忙答应了。
在了解完廖国军两个女儿的情况后,新桥医院特意从国外进口了一台专门给婴儿使用的呼吸机。很快,廖国军的两个女儿就被转移到了新桥医院。也正是从那时开始,廖国军终于了解到了两个女儿的真实情况。
通过对婴儿进行全身扫描,医生们发现包桥英所生下的这一对女婴跟平常意义上的“连体婴儿”并不一样。
平时大家所听说的连体婴儿可以是双头同身,但也会出现双头三臂甚至四臂的情况,而且除去这些外部特征,他们身体内部器官的种类也是分开的。也就是说他们只是身体的一部分连在了一起,比如四肢、小肠、肝脏之类的,而一些重要器官,比如心脏、脊柱等是分开的。所以在现实生活里,会出现一些连体婴儿通过手术分开,然后各自都能生活下去的事件。
但廖国军夫妻俩的孩子,在这些重要的器官中,她们虽然各有一个脊柱,但心脏却是左边一个右边半个,也就是说,这两个孩子只有一个半心脏,也这就意味着廖国军夫妇的孩子不可能像普通连体婴儿一样通过手术人为分开。而且更严重的是,孩子们的肺出现了明显的发育障碍。
廖国军夫妇的女儿
一人一个心脏在心肺功能不好的情况下都会出现喘不过来气的情况,更何况是每人不足一个心脏。再加上刚刚出生的孩子心肺都发育不全,所以,一旦两个孩子中有一个在哭泣,由于对氧气消耗的增加,这两个孩子就都会因为血氧含量的下降而出现缺氧发绀的状况。这也就是为什么新桥医院会花几百万从国外买来专门的婴儿呼吸机。
除了心肺问题之外,其他并发症的出现同样折磨着廖国军的两个孩子。廖国军是看在眼里,疼在心里。尤其每次从新桥医院回到遂宁市中医医院,看到病床上满脸憔悴却一直担忧孩子的妻子,他的心中就更痛了。因此,廖国军从来都不敢对妻子说实话,只一味含糊地表示孩子都挺好的。
包桥英
幸好那段时间,全国范围内大多对连体婴儿有治疗经验的专家都知道了这件事,他们要么通过网上连线的形式进行指导,要么亲自到新桥医院来看两个孩子的情况,和新桥医院的医生共同商议治疗方案。在这些人的努力救治下,廖国军两个女儿的状况终于在14天后稳定了下来。
可医生们心里清楚,这种稳定只是暂时的,随着他们的成长,只要两个孩子还连在一起,就会有越来越多的问题在她们身上出现,尤其是心脏方面的问题。这些是不可避免的。
讨回公道
因为肺部畸形所导致部分呼吸功能的丧失,廖国军两个女儿只能插着氧气管被放置在保温箱里,而且由于进食不能,长长的饲管从口腔一直伸到胃里。第一次来到新桥医院的包桥英看见这种场景,忍不住嚎啕大哭起来。廖国军害怕惊醒两个孩子,赶紧将妻子拉了出去。
看着两个女儿暂时没有大碍,廖国军夫妇决定暂时回家。比起往日,家里更加冷清。而且,两夫妻每次出门,村里人的眼神,他们在背后嘀咕的话语,都犹如一把把利刃,一次次插进了廖国军夫妇的心里。夫妻俩悲痛不已,常常望着早早就给孩子准备好的玩具、衣服,每天以泪洗面。
在家待了几天后,廖国军突然想起来要去遂宁市第三人民医院的事,此时妻子身体也快养好了,于是廖国军便把自己的打算也告诉了她。包桥英听后哭个不停,要是当初就查出来孩子有问题,现在他们何必再受这份罪。想到这里,廖国军夫妇下定决心,要给孩子讨回公道。
往后的日子里,廖国军夫妻俩经常在看完孩子后就回到遂宁市,拿着几家医院的B超检查报告跑到遂宁市第三人民医院,可手里的报告单折了开,开了折,看的人是不少,可对方主要的负责人就是不露面。
此事一拖再拖。
廖国军
医院的这种态度让夫妻两人气愤不已,尤其每次看到还在新桥医院里受苦受难的女儿时,廖国军夫妇愧疚之余都更添恼恨。他们决定要去遂宁市第三人民医院大闹一场,就在那一天,该医院的负责人终于露面了。
廖国军夫妇认为是医院的过失让自己的孩子以及自己受到了极大的伤害,医院需要赔偿损失。铁证在廖国军手里,医院也不好说什么,便先应付着廖国军夫妻俩,将他们在遂宁市中医医院的住院费先给垫上了。
恰好医院那边刚传来好消息,原本无法进食的两个孩子现在进食量都已能达到正常水平,体重也开始慢慢增加。听到这个消息,廖国军夫妇看了看遂宁市第三人民医院的负责人,不再说什么了。
时间一晃就来到10月3日,此时本是秋高气爽的好日子,可从新桥医院传来的消息却又让整个廖家惶惶不安起来。一大早,廖国军就接到电话,说他们的两个女儿突然情况很不好,让他们赶紧过来。
接到电话后,廖国军夫妇急忙赶往火车站,可正直十月旅游旺季,他们在火车站排了半天的队,也没能买到去重庆的火车。没有办法,两人只能到汽车站坐大巴车。
时间一分一秒地过去,手术室里,医生在全力抢救廖国军的女儿,而在汽车站,大巴车却纹丝不动。
夫妻俩焦灼不已,就在这时,廖国军的电话突然响起,包桥英像是知道了什么,转过头哭了起来。“孩子最终抢救无效死亡。”电话里传来医生的声音,廖国军没说一句话,挂断电话后,再也忍不住的他和妻子相拥而泣。
晚上9点钟,廖国军夫妇终于赶到了医院,望着已经被盖上白布的两个女儿,两人失声痛哭,这次他们不用再害怕将女儿吵醒,也只有这时,他们才第一次抱了抱自己的孩子。
第二天,廖国军夫妇将女儿的遗体捐给了医院,并且给两个孩子取名为“新新”和“桥桥”,以表达对医院的感激之情。
其实,自从女儿出生后,廖国军夫妇早就知道会有这么一天,所以他们一直没有工作,想着有情况自己可以第一时间抽身飞奔到女儿身边。而且,比起国外连体双胞最长存活了11天的记录,他们的孩子已经在人世间生活了150天,他们已经很开心了。
所以,当他们每每被叫到医院,看着已经熟睡的两个女儿时,夫妻俩都会觉得很幸福。可看到女儿在一次次治疗中遭受痛苦,就算手术成功也难以脱离生命危险,甚至连这个世界也没看一眼就突然离开时,廖国军夫妇出离地愤怒了。想到造成这些伤害的罪魁祸首,他们更是认为绝对不能放过。
因此,在9月20日,廖国军夫妇将遂宁市第三人民医院告上了法庭。
同年11月15日,遂宁市船山区法院开庭受理此案。廖国军夫妇认为遂宁市在给包桥英做B超检查是存在失职行为,严重侵害了自己的知情权,以至于本可以早点打掉胎儿的时机被延误,给自己造成了严重的经济损失和精神痛苦。
证据板上钉钉,经过判决,遂宁市第三人民医院需要赔付廖国军夫妇的损失。
案情看似一切顺利,遂宁市第三人民医院也承认了自己的过失,但在赔付过程中,他们却将其帮包桥英在遂宁市中医医院住院时所垫付的医疗费扣除,决定只赔廖国军夫妇1万多元。
廖国军夫妇也想据理力争,可这笔钱确实是遂宁市第三人民医院承诺垫付的,而且当时也没签什么合约。
现在对方想赖账,廖国军夫妇也没办法,自己一家只是平民百姓,每天忙着生活,哪有那么多时间和对方缠斗下去。既然已经给女儿讨回了公道,此事这样结束也算有个圆满的结果了。
当然,心里这么想,可廖国军夫妇还是高兴不起来。包桥英每每看到家里买来还未来得及使用的奶嘴、小衣服,都会忍不住哭出声来,而且因为情绪的压抑,包桥英的身体也越来越差。廖国军不忍心妻子一直这样消沉下去,便拉着妻子将这些婴儿用品全部都烧掉了。
几天后,廖国军夫妇离开了家乡,奔向了广东。
从得知怀孕到女儿夭折,这一年多的时间里,廖国军夫妇经历了人生的大喜大悲。不过,生活总要继续,几年后,包桥英又怀孕了。
包桥英
这一次,廖国军仍然精心照顾,和上次一样珍惜爱护妻子。这一次,他们收获了好的结果,包桥英在十月怀胎后平安生下了一名健康的男婴。而且自从这个小男孩诞生后,包桥英的心也被打开了,她不再沉默,变得爱笑起来。
不过,他们没有忘记过去,也没有忘记两个女儿,只是,那段特殊经历让夫妻俩更加珍惜眼前的孩子。包桥英并不回避两个女儿的存在,总是说等到孩子长大后就将两个姐姐的故事讲给他听:
“她们没能睁眼看看这个世界,这不是她们的错。我希望,我们一家都能永远记住这两个孩子,替她们好好活下去。如果有缘分的话,下一辈子,我还想要再孕育她们一次,不管付出多少,我都要让两个孩子健康平安地活下来,快快乐乐地过一生。”
本文转载自互联网,如有侵权,联系删除


